Calendrier des soins de la future maman
Articles similaires
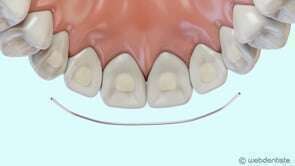
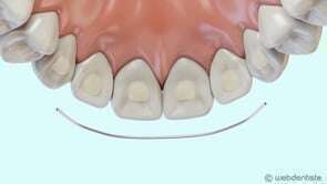
Contention de Hawley
Vidéos 3D
L'hygiène en orthodontie
Vidéos 3D
- À la une (10)
- Coûts et prise en charge (1)
- Incidents et urgences orthodontiques (1)
- Informations générales dentaires (22)
- L'orthodontie de l'adulte (4)
- La réussite d'un traitement (10)
- Les enfants & les adolescents (18)
- Orthodontie (74)
- Qu'est-ce que l'orthodontie ? (18)
- Questions fréquentes en orthodontie (6)